大腿肌肉變「A5和牛」! 研究:小心吃太多超加工食品
2026-04-22 17:14
- 小
- 中
- 大
圖、文/CTWANT不少人平時愛吃零食、碳酸飲料、即食食品等超加工食品(UPF)。不過,醫師蔡明劼指出,最新研究發現,長期攝取超加工食品,可能讓大腿肌肉出現類似「A5和牛」油花的脂肪堆積,影響肌肉功能,導致肌力衰退、走路速度變慢,甚至進一步損害關節健康。
圖、文/CTWANT
不少人平時愛吃零食、碳酸飲料、即食食品等超加工食品(UPF)。不過,醫師蔡明劼指出,最新研究發現,長期攝取超加工食品,可能讓大腿肌肉出現類似「A5和牛」油花的脂肪堆積,影響肌肉功能,導致肌力衰退、走路速度變慢,甚至進一步損害關節健康。
內分泌專科醫師蔡明劼在臉書發文,分享一篇2026年刊登在《放射學》(Radiology)期刊的最新研究,分析了615名、年約60歲、具有退化性膝關節炎風險的受試者,研究結果發現,攝取越多超加工食品的人,大腿肌肉裡的脂肪浸潤就越嚴重。

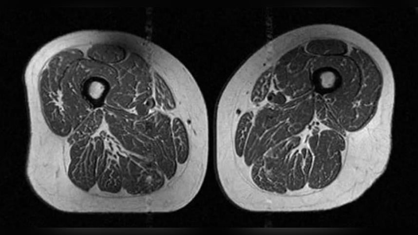
蔡明劼PO出研究中的核磁共振影像,照片中比較2名BMI相近的女性,左圖的女性,攝取超加工食品佔一天總熱量的29.5%;右圖的女性則攝取87.1%,「儘管兩者的BMI相近,腰圍以及大腿油花指數竟然有天壤之別」。
蔡明劼表示,這種現象在男女身上都一樣明顯,代表攝取超加工食品會導致肌肉品質下降。蔡明劼說明,大腿肌肉功能對於膝關節的穩定性至關重要,一旦肌肉品質被脂肪取代,支撐力就會下降,導致肌力衰退、走路速度變慢,進而影響整體的活動能力,還可能引發發炎反應及功能性影響,進一步損害關節健康。另外,研究也發現,考量到反映內臟脂肪分布的中央型肥胖,腰圍與大腿肌肉脂肪的關聯性比看BMI更明顯。
至於什麼是超加工食品(UPF)?蔡明劼解釋,超加工食品通常是經工業化生產方法製造,並加入大量香料、著色劑、乳化劑等化學添加物,以增強保存期限與口感吸引力的食品 。例如,碳酸飲料、包裝零食、即食餐點等,這類食物多半高鹽、高糖、高脂肪,但卻缺乏纖維、蛋白質與微量元素等必要營養。
蔡明劼提醒「即使你的體重(BMI)看起來還算正常,不健康的飲食依然會從內部侵蝕你的肌肉品質」,若想保住結實的大腿,建議減少攝取超加工食品比例、增加天然全食攝取並適度身體活動,給予肌肉正確的營養支持,並鍛鍊肌肉健康與功能,避免因疼痛或久坐導致的肌肉萎縮,「別讓你的大腿真的變成A5和牛,畢竟你的肌肉是用來走路的,不是用來品嚐的」。
延伸閱讀
免責聲明:本文為合作外稿授權《民視新聞網》原文轉載,如對內文有任何疑問請逕與原作單位確認。
【原文出處】:大腿肌肉變「A5和牛」! 研究:小心吃太多超加工食品
延伸閱讀
{PLAYICON}勃起功能障礙竟是心臟病徵兆? ACC:不夠硬、硬不久恐與這6件事有關
2026/04/22 17:00:18

18歲少年確診大腸癌三期!醫師:出現「2症狀」別輕忽
2026-04-22 15:22
{PLAYICON}找工作被洗臉!她做滿2年離職 竟被問為何不撐3年
2026/04/22 17:05:56

學童高燒40度+異常疲倦確診B流! 全班12人竟9人中鏢
2026-04-22 10:57

騎車遭蚊蟲飛入眼!男直覺「1動作」慘了 角膜差點爛穿險失明
2026-04-21 18:17
{PLAYICON}女涉攻擊律師庭上再失控!怒飆三字經嗆詐團 中院升級維安6法警戒護
2026/04/22 16:04:02
