肺小結節影像病理判斷有挑戰! 研究:約2/3惡性腫瘤
- 小
- 中
- 大
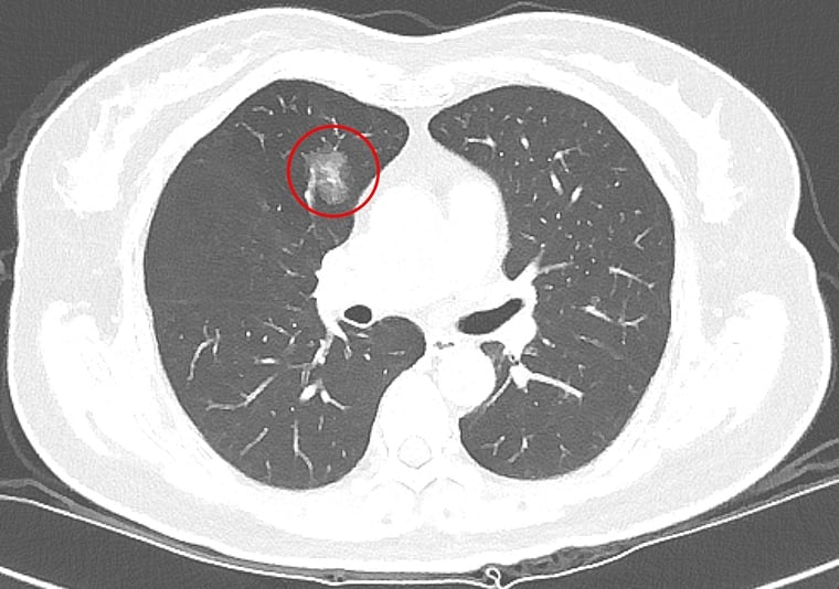
隨著低劑量電腦斷層(LDCT)篩檢日益普及,越來越多民眾在健康檢查或就醫過程中發現肺部小結節,也讓「到底要不要立刻開刀」成為門診中常見疑問。台北慈濟醫院胸腔內科吳智偉醫師針對院內LDCT共6997名篩檢個案進行回溯性分析,結果發現手術切除的病灶中,有約2/3被證實是惡性腫瘤,另外1/3為良性腫瘤,由此可知小型肺部結節在影像判讀與切片診斷上極具挑戰,研究成果於今年1月獲國際期刊《International Journal of Medical Sciences》刊登。
【NOW健康 楊芷晴/新北報導】隨著低劑量電腦斷層(LDCT)篩檢日益普及,越來越多民眾在健康檢查或就醫過程中發現肺部小結節,也讓「到底要不要立刻開刀」成為門診中常見疑問。台北慈濟醫院胸腔內科吳智偉醫師針對院內LDCT共6997名篩檢個案進行回溯性分析,結果發現手術切除的病灶中,有約2/3被證實是惡性腫瘤,另外1/3為良性腫瘤,由此可知小型肺部結節在影像判讀與切片診斷上極具挑戰,研究成果於今年1月獲國際期刊《International Journal of Medical Sciences》刊登。
臨床逾一半肺癌患者不抽菸 手術或切片約2/3為惡性腫瘤
肺癌發生率已居全國第一,影響因子包括抽菸、肺癌家族史及空氣污染等,但吳智偉醫師指出,臨床上超過一半肺癌患者其實不抽菸,因此即使沒有抽菸習慣,也不能完全輕忽風險。近年政府積極推動低劑量電腦斷層篩檢,提升肺癌早期發現及治療的機會,針對肺部小結節,臨床上雖會依據大小、影像型態、生長狀況以及病人的臨床背景進行綜合判斷,但部分良性病灶在影像上與早期肺癌相似,有些早期惡性病灶則生長緩慢、不易立即判別。
有鑑於篩檢發現的小型肺結節在診斷與後續處置上仍有不少挑戰,吳智偉醫師回溯分析台北慈濟醫院2013年至2018年間共6997名LDCT篩檢者資料,並追蹤至2023年,探討篩檢發現之肺腫瘤的生長模式、病理診斷、診斷時程及電腦斷層導引切片的準確性。研究結果顯示,接受手術或切片的腫瘤中,約有2/3為惡性腫瘤,並以肺腺癌最為常見;而其餘1/3的良性病理發現則是以纖維化和炭粒沉積最常見。
吳智偉醫師說明,纖維化通常是肺部過去曾受感染或發炎後留下的疤痕,炭粒沉積則是空氣中的污染微粒被吸入肺部後堆積形成的結節。這兩類良性病灶之所以難以分辨,在於影像上與早期肺癌相似,因此即使經過多重評估,目前的醫學仍難以僅憑影像,準確區分良性或惡性。此外,約有13%的良性腫瘤,在追蹤的過程中以新發生的病灶(de novo)的形式被發現,讓影像的初期判斷更加艱難。

國內共識以0.8公分腫瘤作基礎判斷準則 建議需定期追蹤
以許女士為例,沒有抽菸習慣,也沒有肺癌家族史,卻在64歲健康檢查時,從低劑量電腦斷層(LDCT)檢查中發現1.2公分的肺部結節,之後持續在胸腔內科門診追蹤。7年後,許女士71歲時,結節增大至1.4公分,因為擔憂,她與醫師討論後轉至胸腔外科手術,病理結果確診為第一期肺腺癌。由於屬早期肺癌,術後不需化療,追蹤至今恢復良好,無併發症。對此,吳智偉醫師說明,許多肺部結節通常需要追蹤很長的時間,才會有些微變化(1年約長大0.1cm),臨床上會根據變化的型態進一步評斷處置方式。
極早期的結節因為太小,無法經由穿刺切片確認屬性。吳智偉醫師提醒,發現肺結節不必過度恐慌,也不代表一定要立刻動刀,目前國內外的共識是以大小0.8公分作為最基礎的判斷準則,在困難判讀的情況下,建議須定期追蹤。若在追蹤期間出現變大或影像特徵改變,建議與醫師討論或進一步評估手術時機,通常會有機會在零期或第一期及早治療。
肺癌若能早期發現,5年存活率超過9成,因此民眾若檢查發現肺結節,應依醫囑規律回診追蹤,才是保護肺部健康的關鍵。
# 首圖來源/台北慈濟醫院提供
更多NOW健康報導
▸醫美亂象背後的本質! 從「小害除大害」到商業化困境的反思
▸老人跌倒非小事!僅僅低能量衝擊也會帶來脆弱性骨折 掌握治療與照護關鍵防二次骨折
NOW健康:FB │ IG │ Threads │ YT │ 官方LINE │ 醫級邦 │ 健康安妞 Podcast
❤溫馨提醒:歡迎轉傳「原始文章連結」分享,未經授權,請勿複製圖文轉貼本文。







