1至7歲孩童血便、生長停滯 恐為幼年型大腸息肉作祟
2026-03-18 12:59
- 小
- 中
- 大
【NOW健康 吳思奕/新北報導】3歲的林小妹過去半年反覆出現間歇性血便,曾多次就醫並依便秘治療,但病況依舊反覆,令人擔憂。家長遂帶她至台北慈濟醫院求診,在糞便潛血檢查呈陽性,並經核子醫學掃描檢查,排除為小腸梅克爾憩室後,遂以無痛麻醉的方式進行大腸鏡檢查。結果發現有約2公分大的單顆息肉,經切除後,其術後病理報告顯示為良性的幼年型大腸息肉。目前林小妹恢復良好,回診追蹤亦未再出現血便的情形。
【NOW健康 吳思奕/新北報導】3歲的林小妹過去半年反覆出現間歇性血便,曾多次就醫並依便秘治療,但病況依舊反覆,令人擔憂。家長遂帶她至台北慈濟醫院求診,在糞便潛血檢查呈陽性,並經核子醫學掃描檢查,排除為小腸梅克爾憩室後,遂以無痛麻醉的方式進行大腸鏡檢查。結果發現有約2公分大的單顆息肉,經切除後,其術後病理報告顯示為良性的幼年型大腸息肉。目前林小妹恢復良好,回診追蹤亦未再出現血便的情形。

血便多與便祕有關 糞便質地正常卻反覆出血數周需警覺
收治林小妹的台北慈濟醫院兒科部腸胃科醫師李致任表示,兒童血便的原因多樣,常與便祕有關,但也可能與腸胃道感染、腸套疊、大腸息肉以及小腸處的梅克爾憩室相關。他進一步指出,兒童若出現血便的情形,應先觀察糞便型態與顏色。若為硬便合併肛門疼痛,多半與便祕、肛裂有關;但若糞便質地正常,卻反覆出現鮮紅或暗紅色血液,甚至持續數週以上,就必須提高警覺,進一步檢查出血來源。
在兒童當中,最常見的大腸息肉為「幼年型息肉」,臨床上超過9成屬良性。這類息肉通常屬偶發型,沒有特定誘因。以台灣來說,臨床發生率約2%,好發年齡以1~7歲的學齡前兒童為主,最典型的症狀即為無痛且反覆性的血便,血色多為鮮紅或暗紅色,若長時間不予理會,部分孩童容易因慢性出血而出現臉色蒼白、活動力下降等缺鐵性貧血表現。

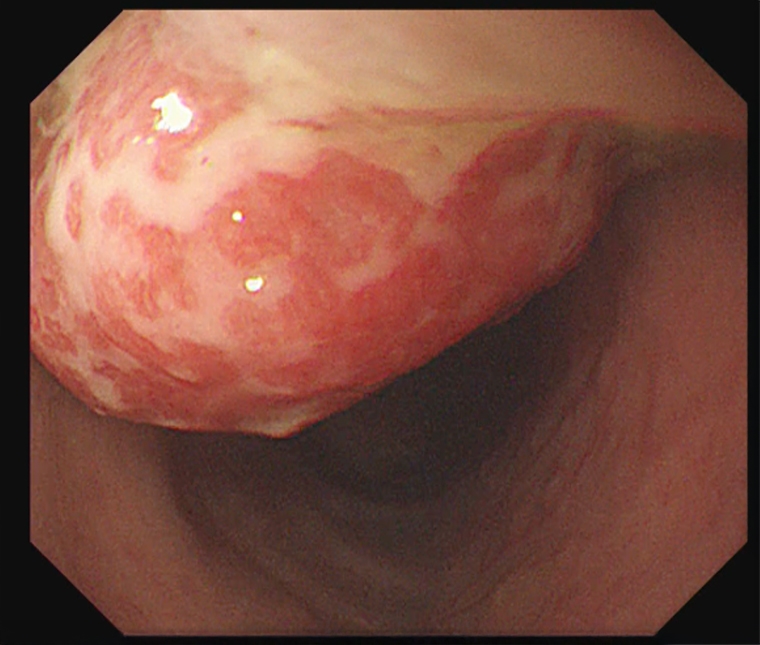
▲個案接受大腸鏡檢查時,發現約2公分的單顆息肉,並在同次檢查中完成切除。(圖/台北慈濟醫院提供)
大腸鏡檢查可同時診斷與切除息肉 9成孩童術後復發率近0
臨床上,醫師通常會透過糞便顏色來分辨出血位置。若糞便顏色為黑色可能為胃、十二指腸等上消化道出血;若糞便顏色為鮮紅色可能為大腸、直腸處的下消化道出血。由於血便原因多樣,建議家長諮詢兒童腸胃科醫師進行判斷,並安排適當檢查,包含糞便潛血、糞便細菌培養、腹部超音波、電腦斷層及核子醫學檢查等。若懷疑為大腸病灶,大腸鏡檢查是最關鍵且具決定性的工具,不僅能直接觀察腸道是否有息肉等,更可在檢查時完成切除治療。
此項檢查與治療亦可由具備兒童大腸鏡執行資格的兒科醫師進行,以確保檢查的安全與精準度。台北慈濟醫院有專責的麻醉科醫師負責兒童舒眠麻醉,大幅度降低檢查期間的疼痛與不適。李致任表示,大部分的幼年型息肉可透過大腸鏡進行微創切除,在舒眠的情況下,將器械透過肛門進入大腸,並在影像系統的輔助下,利用電圈套住息肉根部進行切除,再依情況決定是否需要使用止血夾加強止血。倘若息肉體積過大或經評估無法以大腸鏡完整切除,才需採外科手術處置。他進一步指出,相較於外科手術,大腸鏡切除手術的優點在於傷口小、疼痛感低且恢復時間短,近9成孩童手術後復發率趨近於0,預後良好。
多蔬果與膳食纖維、固定如廁時間 有助兒童維持腸道健康
在日常照護方面,良好的飲食與生活型態是維持腸道健康的重要關鍵。家長可從日常三餐著手,讓孩子多攝取新鮮蔬菜、水果及含有膳食纖維的天然食材,同時建立固定如廁時間與規律作息,幫助腸胃順暢運作。若孩子出現反覆血便、體重下降、生長停滯、發燒、臉色較為蒼白或精神活動力明顯下降等情形,應提高警覺、及早就醫,守護孩子的健康。
# 首圖來源/Freepik
更多NOW健康報導
▸年後濕疹復發高峰 中醫教你避免「越抓越癢」惡性循環
▸兒童矯正不拔牙有黃金期 這年齡階段及早評估重塑齒列
NOW健康:FB │ IG │ Threads │ YT │ 官方LINE │ 醫級邦 │ 健康安妞 Podcast
❤溫馨提醒:歡迎轉傳「原始文章連結」分享,未經授權,請勿複製圖文轉貼本文。
免責聲明:本文為合作外稿授權《民視新聞網》原文轉載,如對內文有任何疑問請逕與原作單位確認。
【原文出處】:1至7歲孩童血便、生長停滯 恐為幼年型大腸息肉作祟
延伸閱讀

失智症可預防?國衛院研究:攜帶APOE ε4基因長者認知退化加速
2026-03-18 12:59

亞東與國璽合作投入外泌體新藥研發 首攻骨科退化疾病
2026-03-16 17:12
{PLAYICON}Taiwan Suzuki 彰化新據點正式啟用,同步推出 Care Bears 彩繪特仕車
2026/03/18 11:29:00
{PLAYICON}高雄男毒駕奪命!3寶媽今出殯 妹淚訴:判重刑、求修法
2026/03/18 11:26:00
{PLAYICON}春雨鋒面明報到!北東連四天轉濕涼 把握兩日好天氣
2026/03/18 11:31:24

麻疹其實很難纏! 醫師提醒出國旅遊前應先確認兩件事
2026-03-16 13:45
