腰痛、反覆泌尿道感染?醫:恐為結石 微創手術可解決
- 小
- 中
- 大
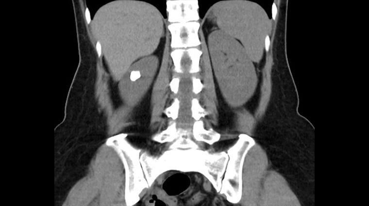
50歲的田女士先天患有腎盞憩室並伴隨結石,但因擔心傳統開刀手術的傷口與恢復期,多年來僅在住家附近的診所追蹤。直到近期頻繁出現泌尿道感染,才轉至台北慈濟醫院就診。經檢查後發現,田女士左側腎臟內約有1.5cm的結石群嵌在腎盞憩室中,且憩室與正常腎盞之間的通道僅不到1mm,導致尿液排出不良並形成結石。後經雷射切開並擴大狹窄通道,搭配軟式輸尿管鏡碎石與負壓吸引鞘取石,順利清除結石,也成功解決多年來的結石與反覆感染問題。
【NOW健康 吳思奕/新北報導】50歲的田女士先天患有腎盞憩室並伴隨結石,但因擔心傳統開刀手術的傷口與恢復期,多年來僅在住家附近的診所追蹤。直到近期頻繁出現泌尿道感染,才轉至台北慈濟醫院就診。經檢查後發現,田女士左側腎臟內約有1.5cm的結石群嵌在腎盞憩室中,且憩室與正常腎盞之間的通道僅不到1mm,導致尿液排出不良並形成結石。後經雷射切開並擴大狹窄通道,搭配軟式輸尿管鏡碎石與負壓吸引鞘取石,順利清除結石,也成功解決多年來的結石與反覆感染問題。
罕見腎盞憩室 尿液滯留易形成結石與感染
經手個案的台北慈濟醫院泌尿科醫師鐘伯恩表示,腎盞憩室是一種較罕見的先天性腎臟結構異常,指腎盞向外突出形成囊袋狀空間,發生率約0.2%至0.6%。由於腎盞憩室與正常腎盞之間的通道多半較為狹窄,憩室內尿液排空較差,尿液容易在憩室內滯留並形成結石。部分患者可能會出現反覆泌尿道感染、血尿或腰痛等症狀。若長期反覆感染未妥善治療,可能造成腎臟功能受損,甚至引發膿瘍或敗血症等嚴重併發症。

鐘伯恩指出,個案在接受電腦斷層檢查後發現,其左側腎臟內約有1.5cm的結石群嵌在腎盞憩室中,而憩室與正常腎盞之間的通道僅不到1mm,導致尿液排出不良並形成結石。手術先以具止血效果的雷射切開並擴大憩室狹窄通道,接著以「負壓吸引鞘與軟式輸尿管鏡碎石手術」將結石擊碎並同步吸出,最後放置雙J導管維持通道通暢,直至傷口定型後再行取出,藉此降低日後再次狹窄及尿液滯留的風險。術後個案恢復良好,隔日即順利出院,成功解決多年來的結石與反覆感染問題。
微創治療腎盞憩室結石 經尿道碎石負壓吸出
傳統治療腎盞憩室結石多採經皮穿腎取石術(PCNL),過程需從背部切開傷口,並以粗度約1cm的導管穿刺進入腎臟進行取石,傷口較大且因腎臟血流旺盛,出血風險相對較高。隨著醫療技術進步,目前小於2至3cm的腎盞憩室結石可採用「負壓吸引鞘與軟式輸尿管鏡碎石手術」治療,傷口小且風險較低。
鐘伯恩說,所謂的負壓吸引鞘與軟式輸尿管鏡碎石手術是利用極細的軟式輸尿管鏡由尿道進入腎臟,配合高能雷射將結石擊碎並吸出,再視情況切開並擴大憩室通道洞口、避免尿液淤積造成結石復發。由於過程中可持續產生負壓,有助於即時將尿液與碎石排出,減少碎石與細菌回流,進而降低感染風險。此外,手術經由尿道自然通道進入腎臟,無需皮膚切口,術後疼痛較輕、恢復速度也較快,對於擔心手術傷口的患者而言,是兼顧安全與外觀的微創治療選擇。
泌尿結石恐提高癌症風險 反覆感染、腰痛需及早就醫
腎盞憩室雖為先天性結構異常,但若伴隨結石或尿液滯留,容易引發反覆感染與腎功能受損。民眾若發現自己有反覆泌尿道感染、腰部痠痛或血尿等症狀,應及早就醫檢查,千萬不要因為懼怕手術而延誤病情。現代微創技術發達,多數結石問題皆能透過非傳統開刀方式解決。民眾平時也應多喝水、避免憋尿,並維持良好的飲食與衛生習慣,以降低結石與感染的風險。唯有早期診斷、精準治療,才能保障腎臟健康,守護生活品質。
鐘伯恩曾於2025年,在美國醫學會期刊JAMA Network Open發表研究《腎結石病史與上泌尿道上皮癌生存預後之關聯》。內容指出有泌尿系統結石病史者,罹患上泌尿道尿路上皮癌的風險較高;一旦確診泌尿系統癌症,其存活期也相對較短,癌症死亡風險更比無結石病史者高約83%。提醒民眾,即使腎盞憩室結石初期未出現明顯不適,仍應及早就醫檢查與治療,以免延誤病情,增加嚴重併發症甚至癌變的風險。
# 首圖來源/台北慈濟醫院提供
更多NOW健康報導
▸年後濕疹復發高峰 中醫教你避免「越抓越癢」惡性循環
▸兒童矯正不拔牙有黃金期 這年齡階段及早評估重塑齒列
NOW健康:FB │ IG │ Threads │ YT │ 官方LINE │ 醫級邦 │ 健康安妞 Podcast
❤溫馨提醒:歡迎轉傳「原始文章連結」分享,未經授權,請勿複製圖文轉貼本文。







