阿嬤餵孫整顆花生「卡氣管3天長肉芽」!見「肺塌陷」險喪命⋯醫師發文怒斥
2026-02-13 21:04
- 小
- 中
- 大
生活中心/李明融報導日前林口長庚急診兒科醫師吳昌騰才在臉書分享收治的一名2歲孩童,因誤食花生卡氣管,出現劇烈咳嗽、呼吸困難等症狀,右肺部整個塌陷,手術將花生取出後,才搶救成功;不過小兒科醫師廖穗綾近日也在臉書發文分享,一位阿嬤餵食1歲的孫子整顆花生,同樣出現咳嗽、喘鳴,就醫時檢查驚覺「肺部塌陷」,經過2個小時搶救後才撿回一命,她怒轟家長「到底還要講幾次,3、4歲以下不要給整顆花生、堅果很困難嗎?」。
生活中心/李明融報導
日前林口長庚急診兒科醫師吳昌騰才在臉書分享收治的一名2歲孩童,因誤食花生卡氣管,出現劇烈咳嗽、呼吸困難等症狀,右肺部整個塌陷,手術將花生取出後,才搶救成功;不過小兒科醫師廖穗綾近日也在臉書發文分享,一位阿嬤餵食1歲的孫子整顆花生,同樣出現咳嗽、喘鳴,就醫時檢查驚覺「肺部塌陷」,經過2個小時搶救後才撿回一命,她怒轟家長「到底還要講幾次,3、4歲以下不要給整顆花生、堅果很困難嗎?」。

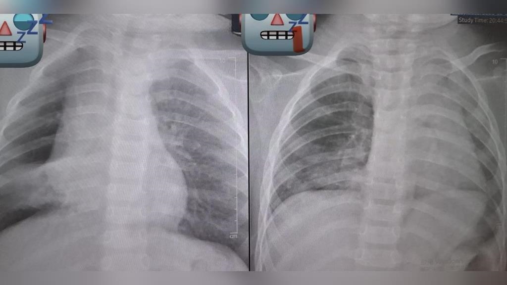
花生卡氣管 3 天長肉芽,追蹤X光後發現孩童的「肺部已經開始塌陷」。(圖/「廖穗綾醫師的健兒門診-Hablo Español」授權提供)
花生卡氣管 3 天長肉芽 醫驚:整顆死死塞住支氣管

花生卡氣管 3 天長肉芽,追蹤X光後發現孩童的「肺部已經開始塌陷」。(圖/「廖穗綾醫師的健兒門診-Hablo Español」授權提供)
基隆長庚醫院兒科教授級主治醫師廖穗綾今(12日)在臉書粉專發文指出,上週原本要和家人去吃大餐,卻臨時接到一名緊急轉送來的1歲多病童,了解事發經過後,孩子3、4天前阿嬤餵食孫子一整顆花生,接著便開始出現咳嗽與喘鳴聲,雖然剛開始症狀不明顯,但隔天追蹤X光後發現孩童的「肺部已經開始塌陷」,直呼不能輕忽。廖醫師的丈夫賴醫師緊急召集加護病房團隊與資深技術員,準備進行手術。然而手術過程異常艱難,廖穗綾描述,那顆花生已經卡了3天,周圍長出了肉芽,「整顆又大又肥,死死塞住支氣管」,賴醫師表示從來沒有遇到這麼困難的案例,經過長達2個小時的搶救,才把那顆「會跳舞的花生」成功網住、夾出。

別再說「只吃一顆」!醫點名 5 大高風險食物
事後廖穗綾憤怒表示「我真的很生氣」,因為這已非首例,先前醫師吳昌騰也分享同樣因吃到堅果類的孩童送進開刀房搶救的事件,面對家長常常說「只吃一顆而已」、「我有在旁邊看著」、「我們以前都這樣長大」,廖穗綾嚴正的提醒醫療現場看到的卻是「氣道發炎腫脹」、「肉芽生成」、「肺部塌陷」,無法理解「到底為什麼要給小小孩吃整顆花生?」,她解釋小小孩的吞嚥與咀嚼能力尚未成熟,兩者間協調不夠穩定,若吞嚥瞬間聲帶剛好打開,硬物就可能滑入氣管。除了花生、堅果類、湯圓、硬芭樂、椰果,其他任何「硬、滑、不易咬碎」的食物,都要等孩子3、4歲以後再嘗試,尤其是家中有阿公阿嬤的父母,更應該讓長輩知道這些正確觀念。
《民視新聞網》提醒您:不良行為,請勿模仿!
延伸閱讀

1歲童遭餵「整顆花生」噎傷!醫見肺塌陷急怒:真的講不聽
2026-02-13 10:55
{PLAYICON}威力彩連30槓!財神爺緊抱13.5億不放「800、5600」包牌攻略曝光
2026/02/12 10:46:48
{PLAYICON}臭豆腐味逼瘋鄰居「拔光頭髮」!名店吞「58.5萬元罰單」環保局:定期稽查
2026/02/12 12:11:33

1歲童被餵整顆花生「肺部塌陷」! 醫氣炸曝:死死塞住支氣管
2026-02-12 14:13
{PLAYICON}臭豆腐名店插旗台北淪鄰居惡夢!住戶崩潰到「頭髮拔光一片」環保局稽查結果曝
2026/02/12 06:53:40

千萬要在場!鴻海最大獎紅包4人擦身而過 網曝抽獎內幕
2026-02-13 14:10
