罕病「囊性纖維化」嚴重恐需肺移植 醫籲納新生兒篩檢防範未然
2026-01-30 16:01
- 小
- 中
- 大
【健康醫療網/記者林則澄報導】罕病「囊性纖維化」在亞裔美國人(Asian Americans)的發生率約為3萬分之一,但於東亞等國的實際發病率可能更高,台北榮民總醫院兒童醫學部醫療團隊表示,該病部分患者症狀並不典型,可能在新生兒時期因胎便阻塞、反覆電解質異常或胰臟炎等問題卻無法根治,但隨著年齡增長,常見表現包括反覆肺部感染,嚴重者甚至危及生命,或面臨肺臟移植,因此醫師呼籲比照美國,將其納入新生兒篩檢,防範未然。
【健康醫療網/記者林則澄報導】罕病「囊性纖維化」在亞裔美國人(Asian Americans)的發生率約為3萬分之一,但於東亞等國的實際發病率可能更高,台北榮民總醫院兒童醫學部醫療團隊表示,該病部分患者症狀並不典型,可能在新生兒時期因胎便阻塞、反覆電解質異常或胰臟炎等問題卻無法根治,但隨著年齡增長,常見表現包括反覆肺部感染,嚴重者甚至危及生命,或面臨肺臟移植,因此醫師呼籲比照美國,將其納入新生兒篩檢,防範未然。
全台僅18例CF 北榮估仍有患者未被診斷
北榮遺傳諮詢中心主任楊佳鳳表示,囊性纖維化(Cystic Fibrosis, CF)是一種因第七對染色體長臂上囊性纖維化跨膜調節因子(CFTR)基因突變後,所引起的體染色體隱性遺傳疾病,患者的父母多是「無症狀帶因者」。國際研究統計,亞裔美國人(Asian Americans)的發生率約為3萬分之一,而目前全台灣通報病例僅18例,換算發生率約為百萬分之一,但據北總兒童醫學部多年臨床經驗與大規模基因篩檢資料推估,國內可能仍有數十至上百名患者尚未被診斷出來。
CFTR突變影響多系統 新生兒到長大都可能發病
北榮兒童感染科主任洪妙秋、兒童胃腸科主任林裕誠、兒童遺傳內分泌科主任陳燕彰、兒童感染科醫師賴昭誠表示,CFTR蛋白負責調節氯離子通道功能,廣泛存在於氣道、腸胃道、汗腺與泌尿生殖系統的上皮細胞中,當基因突變發生,這些管狀器官表面的水樣層會變乾燥,導致纖毛運動受到影響,分泌物也將變得濃稠,進而引起呼吸、消化與生殖等多系統功能異常,但臨床上部分患者症狀並不典型,可能在新生兒時期因胎便阻塞、反覆電解質異常或胰臟炎卻找不出病因,且隨著年齡增長,常見表現包括反覆肺部感染、氣喘、慢性鼻竇炎,及因胰臟功能不全造成的營養吸收不良、發育遲緩,也有人可能出現肝功能受損或不孕等問題。
▲CF患者的氣道情況,因痰液增生,需在儀器協助下排出。
北榮追蹤5名患者 最久逾12年肺功能仍穩定
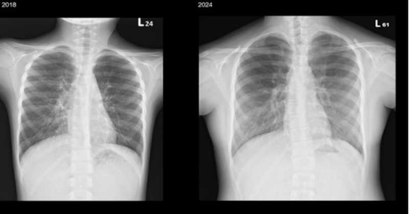
北榮兒童醫學部目前長期追蹤照護5名CF患者,其中4名為台灣籍、一名為外籍病人,年齡分布自10歲至40歲,最早接受治療的患者已追蹤逾12年,目前肺功能穩定、無需使用氧氣輔助,生活品質接近一般人。一名13歲的林小妹在6歲時確診CF,起初出現反覆胰臟炎與低血鉀等症狀,輾轉轉診到多科別卻無法根治,直至自外院轉至北榮後,由醫療團隊安排全外顯子定序(WES)才確診,如今已持續治療7年,肺功能維持穩定,生活品質接近一般同齡孩童。

▲林小妹於2018年、2025年所攝胸部X光片,楊佳鳳主任表示,成像愈黑,代表肺功能較好,可見她歷經7年專業照護,肺功能維持穩定。(圖/北榮提供)
痰像口香糖難咳出 醫:肺功能降到一定程度要談肺移植
楊佳鳳主任也說,CF是很棘手的疾病,最易造成肺部反覆感染,臨床上曾透過支氣管鏡從患者肺部抽出大量濃綠色痰液,痰液的黏稠程度就像咀嚼到一半的口香糖,不是靠病人用力咳嗽就能排出,若發病年齡為更小的6歲兒童,也許連咳痰的動作也有困難。她還形容,CF像是一場患者與痰液的比賽,若痰液生成的速度更快,肺功能就可能一路受損下去,而當用力呼氣1秒的呼氣量小於40%時,日常生活除了需24小時的氧氣輔助,家屬與醫療團隊也需討論是否將肺臟移植納入治療考量,以延長餘命。
照護靠跨科團隊 排痰背心、吸入藥昂貴成負擔
CF治療與照護需經兒童胸腔科、重症科、腸胃科等多方合作,其中「呼吸道清除」是美國標準治療指引中的核心之一,楊佳鳳主任指出,在美國是CF照護中心,高頻率胸壁震盪治療中的排痰背心是重要工具,可透過震動把黏稠痰液震出體外,但國內早年價格約需數十萬元,且因取得困難,得靠病友家屬跨海求援,後來也在罕見疾病基金會協助下,才陸續購入儀器,另吸入型抗生素昂貴且至今未納入健保給付,許多病童家屬甚至為了節省一劑近數千元費用,改成一周使用一次,讓她相當感慨,說到這裡不禁頻頻哽咽。
診斷仍靠醫師警覺與汗氯檢測 盼納入新生兒篩檢
楊佳鳳主任表示,診斷CF主要仰賴臨床醫師的敏銳觀察,而對疑似個案,汗氯測試仍是最重要的診斷工具,並可搭配基因檢測與鼻電位差檢查(NPD)進一步確認,當患者出現至少一項符合CF的臨床表現,且具備CFTR功能異常證據,即可確立診斷。但因美國早自1982年就啟動將CF納入新生兒篩檢,至2010年全國皆已納入,因此她也呼籲,台灣可比照美國,將CF納入新生兒篩檢,方能真正落實「早期診斷、早期治療」,若未在疾病初期即建立完整肺部照護,患者可能於中年即面臨肺臟移植等高風險治療。
此外,北榮兒童醫學部主任鄭玫枝說,近年CF已有突破性治療進展,例如小分子三合一標靶藥物,醫療團隊也同步進行基因突變型態分析,期望能進一步提供更精準、更適切的治療方式,陪伴患者把每一次呼吸都延伸向可期待的明天。
【延伸閱讀】
八仙塵爆走過十年!長庚醫院追思領軍人物莊秀樹醫師 下一步著重「傳承」
肺鏈病例創5年新高 公費疫苗即日起開打!1劑20價助增保護力
資料來源:健康醫療網 https://www.healthnews.com.tw/readnews.php?id=67536
喜歡本文請按讚並分享給好友! 更多健康資訊:健康醫療網https://www.healthnews.com.tw
免責聲明:本文為合作外稿授權《民視新聞網》原文轉載,如對內文有任何疑問請逕與原作單位確認。
延伸閱讀
{PLAYICON}首爾地鐵廁所發現2條蛇遭棄養 專家細看嚇一跳:瀕危物種
2026/01/30 15:38:55
{PLAYICON}胃癌手術不必全切!65歲婦切10公分腫瘤保「胃口」兼顧存活率
2026/01/30 15:21:29
{PLAYICON}豆腐、豆漿只挑「非基改」一定比較安心?營養師曝真相:掌握3招外食族也不怕
2026/01/30 15:58:16

健保擴大給付!微脂體藥物納第一線 為晚期胰臟癌友增治療選擇
2026-01-30 09:50

六成以上無症狀!林欣辰醫師揭開「神經內分泌腫瘤」的偽裝面具
2026-01-30 09:26

春節慢箋「提前14天領」! 9天連假哪裡可看病?衛福部4措施防急診塞車
2026-01-30 13:15
