慢性中耳炎別輕忽! 老翁併發膽脂瘤引起神經功能損傷
- 小
- 中
- 大
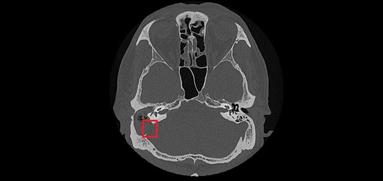
75歲張先生右耳曾罹患慢性中耳炎並合併耳聾。近日右耳出現耳痛、耳脹並伴隨膿性分泌物,原先於診所治療未見改善,轉至台北慈濟醫院就診時,檢查發現外耳道嚴重紅腫狹窄,內部堆積大量碎屑及膿液。台北慈濟醫院耳鼻喉科鄭靜雯醫師在進行局部清理及藥物治療後,症狀仍未明顯改善,後續更出現右側顏面神經麻痺。經顳骨電腦斷層檢查確認為慢性中耳炎併發膽脂瘤,且病灶已侵蝕顱底骨質,需安排住院治療。
【NOW健康 楊芷晴/新北報導】75歲張先生右耳曾罹患慢性中耳炎並合併耳聾。近日右耳出現耳痛、耳脹並伴隨膿性分泌物,原先於診所治療未見改善,轉至台北慈濟醫院就診時,檢查發現外耳道嚴重紅腫狹窄,內部堆積大量碎屑及膿液。台北慈濟醫院耳鼻喉科鄭靜雯醫師在進行局部清理及藥物治療後,症狀仍未明顯改善,後續更出現右側顏面神經麻痺。經顳骨電腦斷層檢查確認為慢性中耳炎併發膽脂瘤,且病灶已侵蝕顱底骨質,需安排住院治療。

75歲老翁確診慢性中耳炎併發膽脂瘤 臨床統計手術案例佔10%
治療期間,張先生先後接受抗生素及局部治療控制感染,並經歷鼓室重建術、乳突鑿開術清除膽脂瘤病灶及修補耳膜、外耳道成形術及顱底缺損修補,術後恢復良好,顏面神經功能也完全恢復。
耳朵構造可簡單分為外耳、中耳和內耳,外耳包括耳廓與外耳道,是收集聲音的管道;中耳位於耳膜內側,內有聽小骨,負責把聲音傳到內耳;內耳則是平衡與聽覺的感覺器官。膽脂瘤是由扁平上皮細胞累積角質物質形成的腫塊,通常發生在中耳或中耳後方的乳突等容易累積角質化上皮的部位,可分為先天性與後天性。先天性多由胚胎發育時殘留的角質化扁平上皮所致,後天性是上皮細胞因耳部疾病進入中耳腔或乳突,長期累積角質形成腫塊,進而侵蝕骨質。
鄭靜雯醫師說明,後天性膽脂瘤多為慢性中耳炎併發症。因慢性中耳炎為長期或反覆的中耳發炎,導致鼓膜穿孔無法自癒,形成持續性的感染通道,也容易導致扁平上皮經耳膜穿孔進入中耳腔,形成膽脂瘤。據統計,膽脂瘤約佔慢性中耳炎手術案例的10%。此外,鼓膜穿孔、中耳負壓、唇顎裂兒童及耳咽管功能不佳者,也是膽脂瘤的高風險族群。
膽脂瘤多發生在中耳或接近顱底位置 容易影響聽力與神經功能
由於膽脂瘤多發生在中耳或接近顱底的位置,一旦形成,可能影響聽力與神經功能,其分泌物亦容易滋生細菌,導致反覆感染;若未及時治療,可能引發暈眩,甚至因鄰近顱內而造成腦膜炎、腦炎或腦膿瘍。目前,手術切除是膽脂瘤根治的唯一方法,術前需以顳骨電腦斷層檢查評估膽脂瘤範圍及侵蝕程度;手術方式依病灶大小、位置,可能採耳內微創、耳前或耳後切開術,徹底清除膽脂瘤並重建受損結構。急性發炎期則需輔以抗生素控制感染,術後追蹤可降低復發風險,但膽脂瘤若已侵蝕骨質,仍需長期觀察。
以張先生為例,雖前後接受過局部藥物、抗生素治療,但考量其慢性中耳炎併發膽脂瘤已破壞聽小骨、乳突及部分顱底骨質,因此需從耳後切開進入外耳道及中耳腔,打開耳後的乳突骨,將病變組織除去後,重建修復骨骼和軟組織缺口。
鄭靜雯醫師提醒,慢性中耳炎不可輕忽,若耳朵長期流膿、反覆發炎,或伴隨聽力下降、耳脹疼痛等症狀,應立即就醫。同時也提醒民眾,過度或不當的挖耳、清潔方式,可能造成外耳道或耳膜受傷,增加感染風險。早期治療能更有效恢復聽力,也能避免膽脂瘤引發的暈眩、顏面神經麻痺及顱內感染,保障聽力與健康。
# 首圖來源/Freepik
更多NOW健康報導
▸極端低溫與劇烈溫差威脅心血管! 年輕人也應提高警覺
▸膝蓋痛不知道看哪一科?膝關節全科中心整合預防與治療 避免跑錯科延誤黃金期
NOW健康:FB │ IG │ Threads │ YT │ 官方LINE │ 醫級邦 │ 健康安妞 Podcast
❤溫馨提醒:歡迎轉傳「原始文章連結」分享,未經授權,請勿複製圖文轉貼本文。






