57歲男心臟衰竭顯喪命 醫:心臟支架手術後勿自行停藥
- 小
- 中
- 大
57歲的周先生曾於10多年前接受過冠狀動脈支架手術,自行停用抗血小板藥物多年,日前出現呼吸困難的情形,在延誤多日後才在診所就醫,後被緊急轉至台北慈濟醫院急診。檢查後發現個案3條冠狀動脈嚴重阻塞,心臟功能只剩20%,合併肺積水與左心室5公分大的血栓,為重度心臟衰竭。所幸在歷經多次重大手術後,最終成功完成心臟移植,重獲新生。
【NOW健康 吳思奕/新北報導】57歲的周先生曾於10多年前接受過冠狀動脈支架手術,自行停用抗血小板藥物多年,日前出現呼吸困難的情形,在延誤多日後才在診所就醫,後被緊急轉至台北慈濟醫院急診。檢查後發現個案3條冠狀動脈嚴重阻塞,心臟功能只剩20%,合併肺積水與左心室5公分大的血栓,為重度心臟衰竭。所幸在歷經多次重大手術後,最終成功完成心臟移植,重獲新生。
心臟衰竭恐致命 喘不過氣、下肢水腫、胸悶都是常見症狀
所謂的心臟衰竭是指心臟無法有效輸出足夠血液供應全身所需,常見的症狀包括喘不過氣、下肢水腫、胸悶以及疲憊等。成因多半為冠狀動脈疾病、未控制好的高血壓、瓣膜疾病或心肌病變。一旦上述原因未即時治療與控制,便可能會導致心室擴大、肺積水,甚至生成血栓。當血栓脫落進入腦部或其他重要器官,恐引發中風或嚴重栓塞,危及生命。
經手此名個案的醫療團隊,由台北慈濟醫院心臟血管外科主任諶大中及醫師楊凱文領軍,在經過詳細檢查與評估後,立即安排手術,為個案放置暫時性左心室輔助器以穩定血液循環。之後,個案歷經2次重大手術,包含置換長效型左心室輔助器與處理術中突發的右心衰竭。在醫療團隊的不懈努力與照護下,患者也順利等到合適的心臟捐贈者,由諶大中親自完成心臟移植手術,最終成功讓個案康復且順利出院。
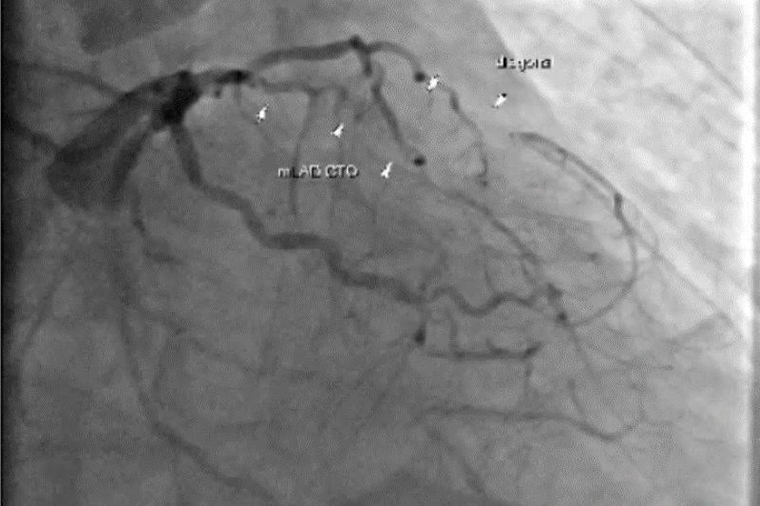
3條血管阻塞病情危急 多階段手術終獲心臟移植
楊凱文說,個案長期以來都有冠狀動脈狹窄的問題,曾接受過支架放置手術,理論上應持續服用抗血小板藥物,但卻因自行停藥許久,導致心臟血管隨時間慢慢阻塞,進而造成心肌缺血壞死與心臟衰竭。對於心臟嚴重衰竭的病人而言,移植是唯一的救命方式。特別是個案在3條冠狀動脈全部阻塞,左心室有巨大血栓,且心臟肌肉大範圍壞死的情況下,病情相當危急。手術團隊先進行冠狀動脈繞道手術與血栓清除,並以人工補片重建心臟壁,在手術中還同步放置暫時性左心室輔助器(LVAD),協助心臟輸出血流。

為了讓個案能返家等待心臟移植,醫療團隊在第2次手術中為他更換為長效型左心室輔助器。不料卻於術中發現右心室功能惡化,因此緊急加裝右心室輔助器(RVAD)支持,並採開胸延後關閉的方式,降低術後出血風險。待心臟狀況穩定後才施行第3次手術,移除右心室輔助器並閉胸。最終在醫療、護理、復健與社工的協力支持下,個案順利完成心臟移植,重獲新生。
心臟支架患者切勿自行停藥 防止血管狹窄與血栓
楊凱文提醒,曾接受心臟支架手術的患者,務必遵照醫囑,長期持續服用抗血小板藥物,避免血管再次狹窄或血栓形成。倘若出現明顯呼吸困難、喘、胸悶、心跳異常或下肢水腫等症狀,應立即就醫,由醫師評估心臟功能,避免延誤治療導致心臟狀況惡化。雖然心臟移植手術是最終治療選項,但現今醫療日益進步,透過輔助器、手術與多專業團隊整合照護,仍有重獲新生的機會,因此務必配合醫師的治療建議,才能掌握自己的健康。
# 首圖來源/Freepik
更多NOW健康報導
▸台灣實力全球矚目 LBV裸視美白內障老花創新複合療程
▸硬皮症影響超出想像! 情況嚴重恐造成器官硬化、衰竭
NOW健康:FB │ IG │ Threads │ YT │ 官方LINE │ 醫級邦 │ 健康安妞 Podcast
❤溫馨提醒:歡迎轉傳「原始文章連結」分享,未經授權,請勿複製圖文轉貼本文。






