感冒鼻塞竟引發蜂窩性組織炎 眼瞼紅腫、疼痛愛注意!
- 小
- 中
- 大
日前1名9歲男童感冒後,原本已逐漸改善的鼻塞、流鼻涕症狀突然加重,右眼更出現紅腫、疼痛的情形。家屬起初帶男童至眼科診所就醫,但病況惡化,右眼腫脹範圍擴大且疼痛加劇,後轉往新竹臺大分院急診就醫,經一系列檢查後,確診為「隔膜前(眼眶周圍)蜂窩性組織炎」,在抗生素治療後得以痊癒返家休養。
【NOW健康 吳思奕/新竹報導】日前1名9歲男童感冒後,原本已逐漸改善的鼻塞、流鼻涕症狀突然加重,右眼更出現紅腫、疼痛的情形。家屬起初帶男童至眼科診所就醫,但病況惡化,右眼腫脹範圍擴大且疼痛加劇,後轉往新竹臺大分院急診就醫,經一系列檢查後,確診為「隔膜前(眼眶周圍)蜂窩性組織炎」,在抗生素治療後得以痊癒返家休養。
兒童眼部紅腫熱痛小心! 鼻竇炎或皮膚感染也可能引發眼眶周圍蜂窩性組織炎
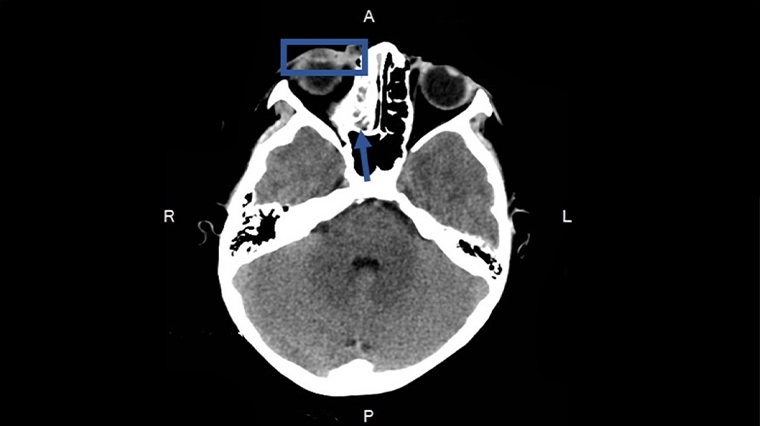
收治這名男童的新竹臺大分院小兒部醫師許瑋芸說,在診察時便發現男童右眼下眼瞼紅腫並壓痛,範圍超過下眼瞼,進一步安排抽血檢查顯示白血球數值及發炎指數顯著上升。醫療團隊當即進行電腦斷層檢查並安排住院,經評估與檢查後,確診為「隔膜前(眼眶周圍)蜂窩性組織炎」,予以男童靜脈抗生素治療,病況才逐漸改善,也改以口服抗生素持續治療。目前男童已順利出院返家休養,在後續門診追蹤時也已完全康復。

許瑋芸醫師解釋,眼球周圍的感染可分為「隔膜前(眼眶周圍)蜂窩性組織炎」及「眼窩蜂窩性組織炎」,兩者皆可能因鼻竇炎惡化或眼眶周圍皮膚感染導致細菌擴散至眼球周圍構造。
其中,「眼窩蜂窩性組織炎」可能引發更嚴重的併發症,如:眼窩內膿瘍、海綿竇血栓等,進而導致視力受損、腦部感染或血栓形成,甚至有失明或死亡的風險。這類感染最常見的致病菌為葡萄球菌,此外,鏈球菌、嗜血桿菌等亦可能引發感染,需盡快使用靜脈抗生素治療,嚴重時甚至需透過手術引流膿瘍,以防止進一步併發症。

孩子眼部不適怎麼辦? 眼瞼紅腫熱痛應提高警覺以免惡化嚴重恐影響視力
最後,許瑋芸醫師也提醒家長,一旦發現孩子眼瞼出現紅、腫、熱、痛等症狀,應提高警覺。若同時伴隨眼球突出、複視(看東西重影)、視力變差,或轉動眼球時活動受限與疼痛等情況,表示感染可能已波及眼窩,應立即就醫,以免病情惡化,影響視力甚至危及生命。
# 首圖來源/Freepik
更多NOW健康報導
▸RSV不分季節!守護嬰幼兒免疫接種成關鍵 離島不能等
▸經常後腳跟痛? 復健科醫師教你7招緩解足底筋膜疼痛
NOW健康:FB │ IG │ Threads │ YT │ 官方LINE │ 醫級邦 │ 健康安妞 Podcast
❤溫馨提醒:歡迎轉傳「原始文章連結」分享,未經授權,請勿複製圖文轉貼本文。
