寶寶先天異常只能中止妊娠? 胎兒肺部長「巨型腫瘤」仍成功搶救茁壯成長
- 小
- 中
- 大
相較於傳統多子多孫多福氣的觀念,現代社會多以小家庭為主不敢多生,在這樣的情況下許多父母都會希望能有個健康的寶寶,若在懷孕時就發現胎兒有先天異常,大部分都會選擇放棄並中止妊娠,不過黃女士在懷孕時檢查發現孩子有先天性肺部呼吸道畸形(CPAM)後仍決定繼續懷孕。
【健康醫療網/記者吳儀文報導】相較於傳統多子多孫多福氣的觀念,現代社會多以小家庭為主不敢多生,在這樣的情況下許多父母都會希望能有個健康的寶寶,若在懷孕時就發現胎兒有先天異常,大部分都會選擇放棄並中止妊娠,不過黃女士在懷孕時檢查發現孩子有先天性肺部呼吸道畸形(CPAM)後仍決定繼續懷孕。
在台北榮總團隊協助下,黃女士的孩子-黃小寶(小名)透過胎兒治療、出生後肺部腫瘤切除手術等,不僅順利出生來到這個世界還茁壯成長,現在黃小寶已經7個月大,兒童醫學部曹珮真醫師表示,孩子的肺部出生後仍會持續發育到8歲,醫療團隊追蹤目前黃小寶的肺部發現,其實它已經長到跟原來正常狀況非常接近了。
什麼是CPAM? 會造成哪些影響?
肺部是人體相當重要的器官之一,北榮婦女醫學部高危險妊娠暨產科主任葉長青表示,懷孕約3週左右,胎兒的肺部就會開始漸進式發育並持續至出生後數年,而先天性肺部呼吸道畸形(CPAM)指的是胎兒的肺葉被沒有功能的囊腫組織取代,是最常見的胎兒肺部腫瘤,發生率約為1/5000-1/11000,致病機轉不明,屬於偶發、非遺傳性疾病。
葉長青主任提到,由於這些囊腫組織的存在沒有功能,如果範圍太大會影響胎兒未來肺部的發育,並有可能造成一些疾病衍生,尤其是病菌、病毒的堆積,在過去患有CPAM的孩子通常是出生後因為感染等原因經影像學檢查才發現,不過隨著產前超音波與影像醫學的進步,越來越多的CPAM可在產檢時被發現。
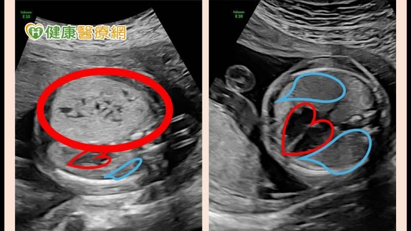
像黃女士就是在懷孕22週時因為產檢超音波發現胎兒肺部腫瘤,由宜蘭轉診至北榮,經高層次超音波檢查發現胎兒右側肺部有大型CPAM,大小約為有3.8 x 2.7 x 2.6 公分佔據肺部超過一半,並已將心臟與縱膈腔推向側邊。
CPAM如何治療? 醫分享治療過程
根據CPAM病灶大小、位置、衍生症狀等,臨床上會給予不同的治療建議,葉長青主任表示,若病灶不大,隨著懷孕進行,約有50%的腫瘤可能自發性萎縮,出生後若無症狀追蹤即可,但有些CPAM較大可能會造成胎兒水腫,一出生就須接受手術治療。
黃女士在懷孕期間胎兒就因為CPAM腫瘤壓迫而有胎兒水腫、腹水、胸水及羊水過多的情形,因此導致宮縮有早產的風險,而且嚴重胎兒水腫可能會使孩子胎死腹中,所以北榮婦女醫學部團隊藉由胎兒治療 (胎兒腹水抽吸與羊水引流上千毫升),配合住院安胎,讓黃女士和胎兒的病況逐漸改善。
不過到了懷孕後期,黃小寶的CPAM體積已經是原來的8-10倍,從3公分增長至7公分,佔據肺部超過70%,因此醫療團隊決定啟動生產計畫在36週進行剖腹,並在黃小寶出生後第一時間放置氣管內管進行呼吸支持,穩定後即由兒童外科醫師進行手術將CPAM切除,術後黃小寶恢復良好,進食、發展與一般同齡新生兒無明顯差異。
兒童醫學部曹珮真醫師表示,現在黃小寶所有的生長發育還有神經學發展都是正常的,甚至他的體重還優於同齡,出乎團隊意料之外的好,這也讓人體悟到事實上小孩子是非常有機會的,像這樣的孩子其實只要父母願意支持他,願意給他一個機會的話仍能成長茁壯。

【延伸閱讀】
資料來源:健康醫療網 https://www.healthnews.com.tw/readnews.php?id=64284
喜歡本文請按讚並分享給好友! 更多健康資訊:健康醫療網https://www.healthnews.com.tw
