婦人耳膜完好卻中度聽損 CT一照為「耳硬化症」作祟
- 小
- 中
- 大
46歲「阿心姨」近年來聽力衰退,講話越來越大聲,與丈夫吵架時經常罵到「燒聲」,家人憂心情況惡化,帶她就醫檢查。結果發現阿心姨耳膜完整、無化膿流湯,但左耳聽力衰退到中度聽損程度,醫師安排斷層掃描後,確認中耳沒有感染或腫瘤,診斷為「耳硬化症」,所幸經聽小骨重建手術,讓她恢復正常聽力。
【NOW健康 陳郁茹/台中報導】46歲「阿心姨」近年來聽力衰退,講話越來越大聲,與丈夫吵架時經常罵到「燒聲」,家人憂心情況惡化,帶她就醫檢查。結果發現阿心姨耳膜完整、無化膿流湯,但左耳聽力衰退到中度聽損程度,醫師安排斷層掃描後,確認中耳沒有感染或腫瘤,診斷為「耳硬化症」,所幸經聽小骨重建手術,讓她恢復正常聽力。
耳硬化症好發於中年女性 出現耳鳴、聽力下降要小心
阿心姨就診時描述,近年左耳聽力逐漸衰退,還伴隨耳鳴症狀,平常電視音量越開越大,也常聽不清楚家人的對話,甚至跟丈夫吵架時,往往越吵越用力,夫妻感情也逐漸失和,子女們眼看每天雞犬不寧也不是辦法,堅持帶她看醫師。
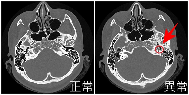
亞洲大學附屬醫院耳鼻喉科主治醫師陳厚匡指出,患者到院後,先詢問其病史、聽力下降時間及相關家族史,並安排理學檢查與聽力檢查,確認是「傳導性聽力損失」而非「感音神經性聽力損失」,之後藉由CT斷層掃描,排除可能病因如中耳炎或中耳腫瘤後,果然在鐙骨底板發現中耳骨質病變,確認是耳硬化症(Otosclerosis)惹禍。

陳厚匡表示,耳硬化症是1種影響聽力的疾病,常見於中年女性,且多數患者的病情發展緩慢,初期症狀並不明顯,隨著病情加重,患者聽力逐漸下降,因為症狀改變緩慢,往往會被認為是老化的正常狀況,因而失去治療黃金時間。
根據統計,耳硬化症常見於白種人,並以女性患者較多(臨床上女性比男性約為2比1),常見症狀是聽力變差及耳鳴。聽力變化是漸進性聽力受損且通常兩耳為不對稱的聽力表現,發生年紀多為30至40多歲,初期多以40至60分貝的傳導性聽力受損,但仍有10%病人會進展至混和性或感音性聽損;第2個常見症狀為耳鳴,約有一半以上的病人會發生耳鳴,可能為嗡嗡聲、嘶嘶聲、蟬叫聲等,另其它較少見的症狀包括頭暈、平衡感變差。
治療耳硬化症! 可選擇手術改善症狀
關於耳硬化症典型特徵,陳厚匡說明,主要是鐙骨周圍緻密骨頭結構改變,病變骨頭被吸收後,由海綿狀血管性骨骼取代,最後形成硬化骨質取代海綿狀骨骼,此異常骨骼生長可能會導致鐙骨底板發生機械性固定,並破壞聽骨鏈傳遞聲音,使得聲音無法有效傳遞至內耳,從而造成傳導性聽力損失。
陳厚匡強調,若患者聽損屬於輕微程度或不適合接受手術,可根據需求選擇助聽器協助,以調整其音量和音質達到最佳效果,並定期追蹤聽力檢查監測病程進展。「鐙骨手術」(又稱耳硬化症手術)則是將病變的鐙骨部分截除,並替換為人工聽小骨來改善聲音的傳導,經驗豐富的外科醫師進行手術時,成功率可以高達80%以上,大幅改善患者聽力,也避免依賴助聽器。
耳硬化症有可能會進展至耳蝸內耳,造成更嚴重的聽力受損,且另一耳也有發病風險,陳厚匡建議,患者術後務必長期追蹤和監測,才能及時掌握病情變化,否則聽力可能會持續加劇,影響到日常生活。同時民眾若發現常聽不清楚對方講話或自己越來越大聲,都可能是聽損前兆,可就醫檢查,預防病情惡化。
# 首圖來源/亞洲大學附屬醫院提供
更多NOW健康報導
▸視力突然喪失恐眼中風 常見青光眼、黃斑部水腫併發症
▸講座報名/聽力影響大腦? 醫示警耳鳴與失智風險相關
就❤NOW健康:社群 │ 影音 │ 官網 │ 醫級邦 │ 健康安妞 Podcast
