1歲寶寶「學走路摔一跤」竟然中風了 醫生這樣說
- 小
- 中
- 大
藝點新聞Chloe編輯整理大陸湖北省宜昌市一名1歲2個月大的男寶寶日前學走路時,不小心摔了一跤,竟然半邊身體不能動了,被家人緊急送醫,醫生診斷發現才1歲多的寶寶竟然是「中風」了。綜合陸媒報導,這名寶寶叫做言言,3週前,言言學走路時沒站穩,不小心摔到了頭,家長見言言沒有外傷,精神也不錯,以為沒什麼問題。誰知,幾個小時後,言言突然變得不想動,也不咿咿呀呀「說話」了,吃奶時,奶從右側嘴角流出,右邊的手臂和腿都沒力氣,抬不起來。見此情況,家長急忙將他送到當地醫院就診,醫生檢查發現,言言右下肢和右上肢肌力很差,完全不能活動,且伴有語言減少。根據磁振造影檢查結果,醫師懷疑言言腦部有梗塞,可能是中風了,隨即請家長把言言轉到大醫院,於是家長便帶著言言到武漢兒童醫院。武漢兒童醫院的醫生為言言細心診斷,發現他是急性腦梗塞—缺血性腦血管病,也就是大腦血管出現梗阻,導致腦部缺血,必須動手術。醫生劉新獻說:「腦部梗塞缺血須盡快想辦法疏通阻塞的血管,一旦錯失時機,腦組織將很難恢復,可能留下偏癱等後遺症。」可是言言的年紀還很小,再加上血管細、腦部組織本身複雜,醫生動起手術來相當謹慎,還好手術很順利,言言術後第5天,癱瘓的右手已能抓物,並能下地簡單活動。劉新獻醫生表示,雖然與成人相比,兒童腦梗人數相對較少,但還是會發生,至於言言發生中風,與先前摔角撞到頭部有一定的關係,但背後具體的發病機制仍不清楚。延伸閱讀林依晨高喊「成都人」挨轟 命理師揭她「親中」內心真相肯德基蛋撻用的不是奶油!竟是「這食材」 一票網友擔心:破戒了
藝點新聞Chloe編輯整理
大陸湖北省宜昌市一名1歲2個月大的男寶寶日前學走路時,不小心摔了一跤,竟然半邊身體不能動了,被家人緊急送醫,醫生診斷發現才1歲多的寶寶竟然是「中風」了。

綜合陸媒報導,這名寶寶叫做言言,3週前,言言學走路時沒站穩,不小心摔到了頭,家長見言言沒有外傷,精神也不錯,以為沒什麼問題。誰知,幾個小時後,言言突然變得不想動,也不咿咿呀呀「說話」了,吃奶時,奶從右側嘴角流出,右邊的手臂和腿都沒力氣,抬不起來。
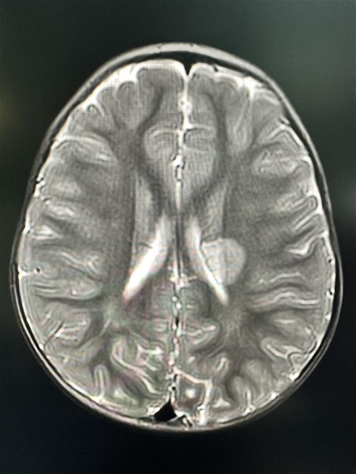
見此情況,家長急忙將他送到當地醫院就診,醫生檢查發現,言言右下肢和右上肢肌力很差,完全不能活動,且伴有語言減少。根據磁振造影檢查結果,醫師懷疑言言腦部有梗塞,可能是中風了,隨即請家長把言言轉到大醫院,於是家長便帶著言言到武漢兒童醫院。

武漢兒童醫院的醫生為言言細心診斷,發現他是急性腦梗塞—缺血性腦血管病,也就是大腦血管出現梗阻,導致腦部缺血,必須動手術。醫生劉新獻說:「腦部梗塞缺血須盡快想辦法疏通阻塞的血管,一旦錯失時機,腦組織將很難恢復,可能留下偏癱等後遺症。」
可是言言的年紀還很小,再加上血管細、腦部組織本身複雜,醫生動起手術來相當謹慎,還好手術很順利,言言術後第5天,癱瘓的右手已能抓物,並能下地簡單活動。
劉新獻醫生表示,雖然與成人相比,兒童腦梗人數相對較少,但還是會發生,至於言言發生中風,與先前摔角撞到頭部有一定的關係,但背後具體的發病機制仍不清楚。
延伸閱讀
