邵雨薇萬聖節曬照「1部位」全看光!眾人一看傻了:透視女明星內在
2023-11-01 15:35
- 小
- 中
- 大
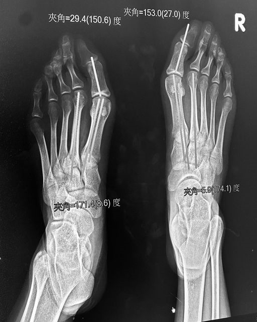
娛樂中心/周孟漢報導女星邵雨薇以甜美又清新的氣質在演藝圈闖出一片天,拍攝電視劇《極品絕配》與金鐘影帝吳慷仁墜入愛河的她,目前維持穩定交往關係,倆人時不時在社群媒體曬出的「低調到放閃」近況,總會吸引不少粉絲到場關心。而在萬聖節這天,邵雨薇沒曬出自己裝扮的照片,而是貼出一張雙腳的X光照,讓粉絲們超心疼。
娛樂中心/周孟漢報導
女星邵雨薇以甜美又清新的氣質在演藝圈闖出一片天,拍攝電視劇《極品絕配》與金鐘影帝吳慷仁墜入愛河的她,目前維持穩定交往關係,倆人時不時在社群媒體曬出的「低調到放閃」近況,總會吸引不少粉絲到場關心。而在萬聖節這天,邵雨薇沒曬出自己裝扮的照片,而是貼出一張雙腳的X光照,讓粉絲們超心疼。

邵雨薇昨(31)日在臉書上傳一張雙腳X光照,只見她雙腳的大拇指明顯歪斜,她也無奈表示「Happy halloween,拇指外翻了啦」。文章曝光後,引來不少粉絲擔憂,「保重呀!」、「多穿寬鬆舒適透氣的鞋子!高跟鞋少穿!長期把腳都擠壓變形了」、「怎麼會這樣」、「辛苦的藝人!穿休閒舒服的鞋!別虐待自己!」,也有網友歪樓,笑說這是「透視女明星內在」。

不過,留言區中也有人呼叫女星「Lulu」,表示「問Lulu她有經驗」、「跟Lulu一樣了」;至於為何會提到Lulu?事實上,Lulu曾在2016年坦言自己有拇指外翻,只要久站背脊就會開始疼痛,嚴重的話,甚至連呼吸都會不舒服,但為了工作,自己又不得不穿高跟鞋,相當困擾;直到2020年她才動手術治療拇趾外翻,休養整整4天後才順利出院。
{PLAYICON}
{PLAYICON}
{PLAYICON}