7旬翁左腳疼跛腳2年 竟是罕見足弓結構畸形另類扁平足
- 小
- 中
- 大
年近70歲的李先生,左腳背在走路時長期疼痛約2年,只能跛腳走路,到他院求診都只被診斷為疑似肌腱炎、韌帶退化,於是開始進行增生療法、針灸等各式各樣的治療,但皆無法得到改善。後經介紹輾轉至台北慈濟醫院骨科門診就醫,醫師透過病史詢問,理學檢查及影像評估判定為舟狀骨外側受過傷或過度使用造成的舟狀骨外側壞死,即所謂的「穆勒.魏斯氏症」,在醫病共識下,採取「距舟關節融合合併異體骨移植手術」,治療3個月後搭配復健,李先生現已恢復步態。
【NOW健康 陳郁茹/新北報導】年近70歲的李先生,左腳背在走路時長期疼痛約2年,只能跛腳走路,到他院求診都只被診斷為疑似肌腱炎、韌帶退化,於是開始進行增生療法、針灸等各式各樣的治療,但皆無法得到改善。後經介紹輾轉至台北慈濟醫院骨科門診就醫,醫師透過病史詢問,理學檢查及影像評估判定為舟狀骨外側受過傷或過度使用造成的舟狀骨外側壞死,即所謂的「穆勒.魏斯氏症」,在醫病共識下,採取「距舟關節融合合併異體骨移植手術」,治療3個月後搭配復健,李先生現已恢復步態。
「穆勒.魏斯氏症」好發群病因 和遺傳、先天發育不全有關
構成人體的足踝骨骼系統分別有趾骨、蹠骨、楔狀骨、舟狀骨、跟骨、距骨,一共有26塊骨頭,其中,舟狀骨是內側足弓重要的結構,一旦舟狀骨外側因受傷或是過度使用導致骨頭壞死,即可能造成中後足部的疼痛,而隨著疾病進展,舟狀骨往內側移動,而距骨相對地往外側掌側移動而形成扁平足,且足部疼痛加劇範圍也逐漸擴大。
台北慈濟醫院骨科醫師王禎麒表示,一般扁平足是指足弓比正常情形還凹陷的足部變形,如先天性扁平足或是後天脛後肌腱失能導致的扁平足,而不同於一般扁平足表現的足跟外翻,「穆勒・魏斯氏症」是一種少見的足弓結構畸形,為後跟内翻合併扁平足。此外,舟狀骨成因除了外傷、過度使用,因遺傳或先天舟狀骨發育不全,皆是穆勒・魏斯氏症的好發族群。
利用關節融合術治療將足踝骨骼融合固定 成功率高達9成
王禎麒指出,為了讓影像呈現更加準確,病人需以站立的姿勢進行X光檢查,並輔以電腦斷層評估疾病嚴重等級,經診斷後確認為「穆勒.魏斯氏症」即會依照病程進行治療。初期疼痛較輕微的患者可以透過客製化鞋墊將受力平均分散加上復健治療,避免加劇舟狀骨產生位移,但病程若進展成持續性疼痛、無法以正常步態行走的話就須透過手術治療。

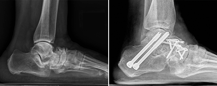
▲患者術前術後的對比圖。(圖/台北慈濟醫院提供)
關於手術的治療方式,王禎麒說明,會將壞死的骨頭移除後,把其他骨頭復位,再取自體髂骨或是以大體老師捐贈的骨頭補在病灶處,加上鋼釘、鋼板讓骨頭更有支撐性,藉由這樣的「關節融合手術」將足踝骨骼融合固定。手術成功率約9成且幾乎不會復發,術後待骨頭品質穩定,須搭配助行器復健,訓練肌力、關節活動度。而相關手術成果也指導骨科年輕醫師發表在2022年的國際知名學術期刊。
王禎麒提醒民眾,走路時應盡量讓雙腳受力平均,穿適合的鞋,維持足部的健康。另外,若骨質疏鬆者平時可以透過攝取高鈣與優質蛋白、每日適量的走路與運動,適度的曬太陽以增加自然合成維生素D,這些都可加強骨質,也建議足踝若有任何不適,應盡早就醫,尋求專業診斷。
更多NOW健康報導
▸打完疫苗要早睡! 研究證實:睡眠時間會影響抗體反應
▸【全台護心大串聯】心絞痛、高血壓、高血脂講座報名
