【創傷後膝關節炎】的關節置換不再是夢魘
- 小
- 中
- 大
對骨科醫師來說,在創傷後膝關節執行全膝關節置換並保留先前植入物,是技術上的一大挑戰。成大醫院骨科部主任、運動醫學科張志偉醫師結合過去使用導航進行關節手術累積經驗與觀念,發展以「簡單平行律」來進行手術前的影像評估,於術中執行有效骨頭裁切與驗證,達到關節置換手術要求目標與組件植入準確度,數年來累積上千例手術經驗;此方式大量減少現有髓腔內導引切割器械的使用,且因不需侵入骨髓腔,可在不增加手術時間與完全拆除先前植入物條件下,成功用於創傷後膝關節炎的關節置換,並獲顯著成效,已有10多位病患受惠。這些成果已多次在國內外醫學會發表,並有他國醫師開始積極仿效與學習。
對骨科醫師來說,在創傷後膝關節執行全膝關節置換並保留先前植入物,是技術上的一大挑戰。成大醫院骨科部主任、運動醫學科張志偉醫師結合過去使用導航進行關節手術累積經驗與觀念,發展以「簡單平行律」來進行手術前的影像評估,於術中執行有效骨頭裁切與驗證,達到關節置換手術要求目標與組件植入準確度,數年來累積上千例手術經驗;此方式大量減少現有髓腔內導引切割器械的使用,且因不需侵入骨髓腔,可在不增加手術時間與完全拆除先前植入物條件下,成功用於創傷後膝關節炎的關節置換,並獲顯著成效,已有10多位病患受惠。這些成果已多次在國內外醫學會發表,並有他國醫師開始積極仿效與學習。

像66歲的許先生因退化性關節炎導致雙膝疼痛跛行與藥物使用反應不佳,嚴重造成日常生活上困擾,經診所轉診至成大醫院骨科膝關節門診就醫,經理學檢查與影像評估關節病變嚴重程度並考量過去對保守治療反應,建議以全膝關節置換手術治療。手術分階段進行,先從較痛的左膝進行關節置換,俟左膝功能回復可正常行走站立,再考慮右膝的手術。
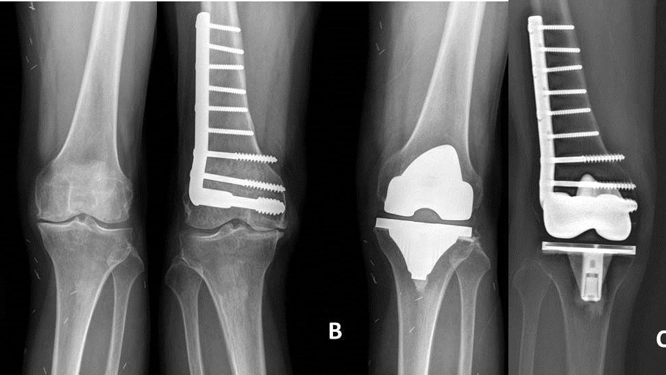
1年後,許先生右膝的疼痛失能到無法以藥物控制,想以手術治療,但因年輕時曾因大腿骨折接受復位固定,當時遠端股骨植入物迄今未拆,若要以現今常用手術器械進行關節置換,可能得先拆除原來相處數十載的骨板骨釘,增加手術時間與失血,另外還得以較複雜設計的關節組件植入,以避免周邊骨折的風險。張志偉醫師表示,後來以成大醫院關節重建團隊近10年所發展出的保留髓腔人工膝關節置換技術,不但保留了先前的骨折固定物,且在未增加手術時間下,成功地以較簡單的初次關節置換組件進行手術,術後恢復良好。
創傷後膝關節炎常發生於膝關節周圍曾發生過創傷,包括骨折、軟組織創傷及接受後續手術治療者,較一般退化性關節炎患者年輕,男性、曾接受過韌帶重建手術、半月板切除與骨折固定等都是常見風險因子。一般來說,有效訓練肌力、避免關節過度承重,或可延遲或減緩進程,但對於嚴重的創傷後膝關節炎,特別是對已經影響日常生活的中老年患者,關節置換手術不啻為一種有效處理方式;因為關節僵硬或不定時疼痛產生的意外跌倒,更容易產生骨折、失能,甚至死亡風險,增加家庭社會的經濟與人力負擔,所以醫師會建議患者以更積極正面態度面對手術治療。
張志偉醫師指出,全膝關節置換手術對創傷後膝關節炎是一種有效的手術治療;但在醫學文獻中,此類手術相較於一般單純因退化接受關節置換手術者,有較多感染、僵硬和傷口癒合的併發症。且原本因治療創傷骨折或韌帶重建的植入物,往往會阻礙現今關節置換手術慣用髓內導引方式骨髓腔內定位桿的放置,所以大多數醫師習慣在關節置換前,分階段或手術同時,先移除這些植入物;但如此一來,不但增加手術時間、耗用更多健保資源外,也因較多較大的傷口增加失血量,延遲病患術後復原,甚至感染風險。
而這種應用簡單平行律的保留髓腔人工膝關節置換技術,不但可有效解決患者因創傷性關節炎造成的行走不便,也避免因拆除先前植入物產生的手術創傷與相關風險!
四季線上/顏孜育編輯
